Congenital duplications can occur anywhere in the GIT, one third of all duplications are foregut duplications (esophagus, stomach, first and second part of duodenum). Respiratory symptoms are the most common symptoms in foregut duplications, most cases present with respiratory distress which may be present from birth, or symptoms may be insidious with cough, wheeze, or recurrent respiratory infections.
Foregut duplications are rare entities that include both esophageal and bronchogenic cysts. Foregut duplication cysts are malformations developing from the endoderm and mesoderm of the digestive and respiratory system in the early weeks of gestation.


Embryologically, the foregut at the cranial end of the primitive gut develops into the pharynx, respiratory tract, esophagus, stomach, and the first part and proximal half of the second part of the duodenum.
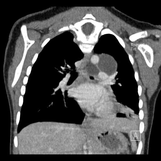
Duplications are congenital malformations thought to arise from disturbances in embryologic development. Multiple theories have been postulated to account for their development. Bentley and Smith proposed that the primary defect was the development of a split notochord that allowed the connection between the yolk sac endoderm and the ectoderm and that subsequent duplication of the gut resulted from eventration of the yolk sac between the halves of the vertebra. It is usually diagnosed by its compression symptoms and radiologically confirmed by a CT scan or MRI.

Thoracoscopic resection of foregut duplication cysts
Thoracoscopic resection is a safe and effective method of treating foregut duplications. Outcomes have been good with little short-term morbidity and no mortality. Morbidity and cosmesis are improved by avoiding thoracotomy. Thoracoscopic resection should be considered the first-line therapy for these benign masses.